Авторские права: © 2025 принадлежат авторам. Лицензиат: РНИМУ им. Н.И. Пирогова.
Статья размещена в открытом доступе и распространяется на условиях лицензии Creative Commons Attribution (CC BY).

ОРИГИНАЛЬНОЕ ИССЛЕДОВАНИЕ

Определение мишеней для персонализированной мультитаргетной неинвазивной стимуляции лобно-теменной сети контроля

Информация об авторах

Российский центр неврологии и нейронаук, Москва, Россия

Для корреспонденции: Александра Георгиевна Пойдашева
Волоколамское шоссе, д. 80, г. Москва, 125367, Россия; ur.ygoloruen@avehsadyop

Информация о статье

Финансирование: исследование выполнено в рамках проекта «Разработка методики транскраниальной магнитной стимуляции для улучшения когнитивных функций у здоровых лиц», выполняемого в ходе Национального проекта «Новые технологии сбережения здоровья» (рег. №1025020400006-8-3.2.25).

Вклад авторов: А. Г. Пойдашева, Д. О. Синицын, И. С. Бакулин — планирование и дизайн исследования; А. Г. Пойдашева, А. Х. Забирова — анализ литературы; И. С. Бакулин, А. Х. Забирова, Д. Ю. Лагода — сбор данных; Д. О. Синицын, А. Г. Пойдашева — анализ данных; А. Г. Пойдашева, Д. О. Синицын — подготовка статьи; все авторы — интерпретация данных, редактирование статьи.

Соблюдение этических стандартов: исследование одобрено этическим комитетом ФГБНУ РЦНН (протокол № 5-1/25 от 19 мая 2025 г.). Все добровольцы подписали форму добровольного информированного согласия.

Статья получена: 14.11.2025 Статья принята к печати: 10.12.2025 Опубликовано online: 20.12.2025
|
Рис. 1. Проекции расположения мишеней 24 испытуемых плоскостях системы координат. Красным показаны мишени в ДЛПФК, синим — мишени в задней теменной коре
Рис. 2. Выпуклые оболочки множеств точек с координатами мишеней в ЗТК (А) и ДЛПФК (Б)
Рис. 3. Расположение мишеней для всех испытуемых в пространстве MNI. Желтым показана групповая маска лобно-теменной сети контроля (frontoparietal control network, FPCN) из работы [20], использованная в качестве seed-региона в расчетах индивидуальной коннективности. Красным показаны индивидуальные мишени в рамках ДЛПФК (определенной как часть средней лобной извилины, не включающая премоторную кору), синим — мишени в задней теменной коре (определенной как объединение надкраевой и угловой извилин и верхней теменной дольки). Данные изображены на шаблоне mni152 из программы MRIcroGL
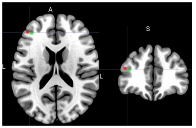
Рис. 4. Сопоставление средних положений мишеней в ДЛПФК в пространстве MNI по данным настоящего исследования (красный) и работы [26] (показаны зеленым). В работе [26] средняя точка определялась среди мишеней в ДЛПФК, найденных как пики независимых компонент индивидуального сигнала фМРТ покоя, визуально идентифицированных как сеть FPCN
Таблица. Индивидуальные координаты мишеней в области дорсолатеральной префронтальной и задней теменной коры левого полушария
Примечание: ДЛПФК — дорсолатеральная префронтальная кора, ЗТК — задняя теменная кора, М1 — первичная моторная кора.