
This article is an open access article distributed under the terms and conditions of the Creative Commons Attribution license (CC BY).
ORIGINAL RESEARCH
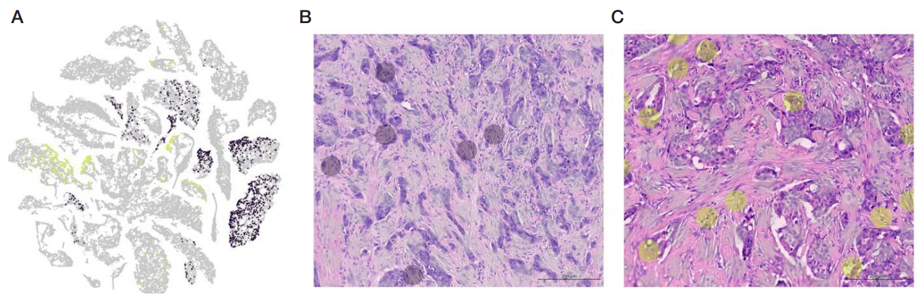
Transcriptomic features of FAP+ cells across molecular subtypes of breast cancer
Tomsk National Research Medical Center, Russian Academy of Sciences, Tomsk, Russia
Correspondence should be addressed: Evgeniya S. Grigoryeva
Koperativny Lane, str. 7, Tomsk, 634009, Russia; moc.liamg@se.aveyrogirg
Funding: this work was supported by the Russian Science Foundation (grant No. 25-65-00021).
Author contribution: Kalinchuk AYu — writing and formatting; Patskan IA — bioinformatic analysis; Shtadelman MM — data collection and analysis; Grigoryeva ES — interpretation of results; Tashireva LA — interpretation of results, concept development. All authors participated in the final editing of the article.
Compliance with ethical standards: The study was approved by the Ethics Committee of the Tomsk National Research Medical Center of Oncology (Protocol No. 3 dated August 25, 2020). The work was conducted in accordance with the principles of the Helsinki Declaration (1964) and its amendments (1975 and 1983). All patients provided written informed consent to participate in the study.
