
Статья размещена в открытом доступе и распространяется на условиях лицензии Creative Commons Attribution (CC BY).
ОРИГИНАЛЬНОЕ ИССЛЕДОВАНИЕ
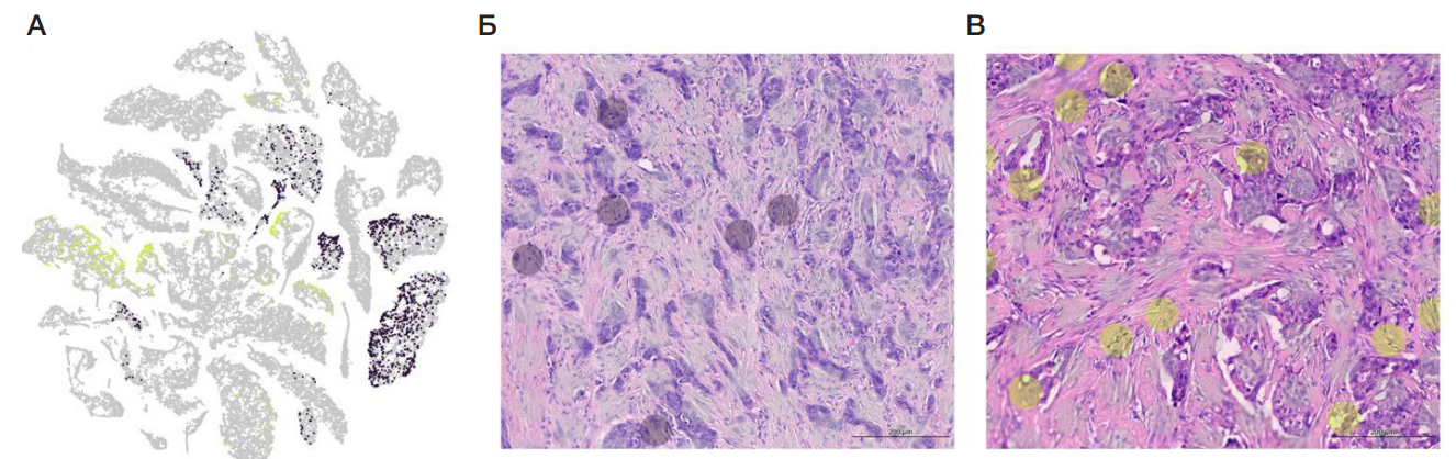
Особенности транскриптомного профиля FAP+-клеток в опухолях молочной железы различных молекулярно-биологических подтипов
Томский национальный исследовательский медицинский центр Российской академии наук, Томск, Россия
Для корреспонденции: Евгения Сергеевна Григорьева
Переулок Кооперативный, д. 7, г. Томск, 634009, Россия; moc.liamg@se.aveyrogirg
Финансирование: работа выполнена при поддержке Российского научного фонда (грант № 25-65-00021).
Вклад авторов: А. Ю. Калинчук — написание и оформление статьи; И. А. Пацкан — биоинформатический анализ; М. М. Штадельман — сбор и анализ данных; Е. С. Григорьева — интерпретация полученных данных; Л. А. Таширева — интерпретация полученных данных, разработка концепции. Все авторы участвовали в финальном редактировании статьи.
Соблюдение этических стандартов: исследование одобрено этическим комитетом НИИ онкологии Томского НИМЦ (Протокол № 3 от 25 августа 2020 г.). Работа выполнена в соответствии с принципами Хельсинкской декларации (1964 г.) и ее поправками (1975 и 1983 гг.). Все пациентки предоставили письменное информированное согласие на участие в исследовании.

