Copyright: © 2025 by the authors. Licensee: Pirogov University.
This article is an open access article distributed under the terms and conditions of the Creative Commons Attribution license (CC BY).

ORIGINAL RESEARCH

Transcriptional kinase CDK8, but not CDK19, promotes the development of atherosclerotic lesions in mice

Neznamov AN1,2 , Baykova YuP1 , Korshunov EN1 , Isaeva EM1 , Bruter AV1 , Kubekina MV1
About authors

1 Institute of Gene Biology, Russian Academy of Sciences, Moscow, Russia

2 Pirogov Russian National Research Medical University, Moscow, Russia

Correspondence should be addressed: Marina V. Kubekina
Vavilova, 34/5, Moscow, 119334, Russia; moc.liamg@ymukyram

About paper

Funding: the study was supported by the Russian Science Foundation grant No. (24-25-00384), https://rscf.ru/project/24-25-00384/.

Author contribution: Neznamov AN — genotyping of animals, aortic image processing, manuscript writing; Baykova YuP — aorta separation and staining, preparation of specimens; Korshunov EN, Isaeva EM — animal handling, preparation of experimental groups; Bruter AV — providing antibodies for the Western blot assay, literature review, analysis of the results; Kubekina MV — literature review, study planning, Western blot assay, analysis of the results, manuscript writing.

Compliance with ethical standards: the study was approved by the Ethics Committee of the Institute of Gene Biology RAS (protocol No. 25 dated 15 may 2024), it was strictly compliant with the provisions of the Directive 2010/63/EU of the European Parliament and of the Council of 22 September 2010 on the protection of animals used for scientific purposes.

Received: 2025-10-31 Accepted: 2025-12-01 Published online: 2025-12-16
|
Fig. 1. Schematic representation of the experimental groups of mice used in the experiment
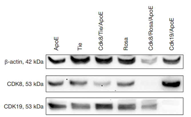
Fig. 2. Representative Western blot image showing the content of CDK8 and CDK19 in the aortas of mice of different experimental groups
Fig. 3. Aorta assessment in mice of experimental groups ApoE WTD, Cdk19/ApoE WTD, Cdk8/Tie/ApoE WTD, Tie WTD, as well as ApoE fed with standard feed. Representative image of the studied aortas (on the left), diagram of the affected area calculation (on the right). The aortic lesions are marked with white dotted lines (*— p < 0.05)
Fig. 4. Aorta assessment in mice of experimental groups ApoE + Oil WTD, Cdk8/Rosa/ApoE WTD, Rosa WTD, as well as ApoE fed with standard feed. Representative image of the studied aortas (on the left), diagram of the affected area calculation (on the right). The aortic lesion is marked with the white dotted line (*— p < 0.05, * * — p < 0.01)
Table. Oligonucleotides used in the study