Copyright: © 2025 by the authors. Licensee: Pirogov University.
This article is an open access article distributed under the terms and conditions of the Creative Commons Attribution license (CC BY).

ORIGINAL RESEARCH

Perivascular mast cells and angiogenesis in the tumor microenvironment of synovial sarcoma

Bulanov DV1,2 , Makhachev DR1 , Suntsov MA1 , Gubich DS1 , Filippova YD1 , Krutilina AA1 , Svoyak AV1 , Ivannikova AA1 , Ghabibullaev RM3
About authors

1 Pirogov Russian National Research Medical University, Moscow, Russia

2 Priorov National Medical Research Center of Traumatology and Orthopedics, Moscow, Russia

3 Dedov Endocrinology Research Centre, Moscow, Russia

Correspondence should be addressed: Dalgat R. Makhachev
Akademika Volgina, 37, Moscow, 117437, Russia; ur.liam@2002taglad

About paper

Author contribution: Bulanov DV — study supervision, design, and conceptualization, article editing; Makhachev DR, Suntsov MA, Gubich DS — data analysis and interpretation, article authoring, editing; Filippova YuD, Krutilina AA, Ghabibullaev RM, Svoyak AV, Ivannikova AI — collection of the clinical data, article editing.

Received: 2025-10-07 Accepted: 2025-11-05 Published online: 2025-11-21
|
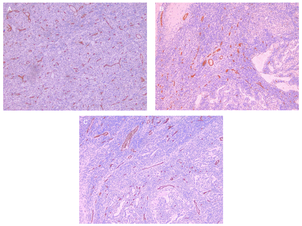
Fig. 1. A. Intratumoral zone (CD31, ×200). A dense network of thin-walled capillaries with branching and looping contours, peculiar to the hotspots of angiogenesis. B. Peritumoral zone (CD31, ×200). An ordered vascular network of lower density, vessels oriented along the collagen bundles. C. Peritumoral zone (CD31, ×200). Mosaic microvascular proliferation composed of small and medium vessels, reflecting the spatial heterogeneity of angiogenesis
Fig. 2. Microvascular density (MVD, CD31): comparison of Weidner hotspots and whole-section assessment
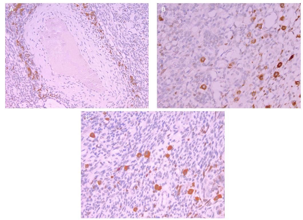
Fig. 3. A. Perivascular zone ≤ 50 µm (CD117, ×200). Clustering of mast cells along the vascular wall; individual cells with extracellular granules (an indirect sign of degranulation). B. Perivascular zone ≤ 50 µm (CD117, ×400). Clusters of mature granular mast cells forming vascular cuffing. C. Intratumoral zone (CD117, ×400). Solitary mast cells lacking pronounced perivascular orientation, with partial loss of granularity
Fig. 4. The density of tryptase+ mast cells in the intratumoral, peritumoral, and perivascular (≤ 50 µm from CD31+/CD34+ vessels) zones
Fig. 5. А. VEGF-A expression (H-score) in synovial saracoma tissues. B. Pericyte coverage of vessels, α-SMA.
Fig. 6. Correlations between mast cell density, MVD, VEGF-A and α-SMA pericyte coverage (Spearman's coefficients)