Авторские права: © 2025 принадлежат авторам. Лицензиат: РНИМУ им. Н.И. Пирогова.
Статья размещена в открытом доступе и распространяется на условиях лицензии Creative Commons Attribution (CC BY).

ОРИГИНАЛЬНОЕ ИССЛЕДОВАНИЕ

Периваскулярные мастоциты и ангиогенез в опухолевом микроокружении синовиальной саркомы

Д. В. Буланов1,2 , Д. Р. Махачев1 , М. А. Сунцов1 , Д. С. Губич1 , Ю. Д. Филиппова1 , А. А. Крутилина1 , А. В. Свояк1 , А. А. Иванникова1 , Р. М. Габибуллаев3
Информация об авторах

1 Российский национальный исследовательский медицинский университет имени Н. И. Пирогова (Пироговский университет), Москва, Россия

2 Национальный медицинский исследовательский центр травматологии и ортопедии имени Н. Н. Приорова, Москва, Россия

3 Научный медицинский исследовательский центр эндокринологии имени И. И. Дедова, Москва, Россия

Для корреспонденции: Далгат Рамазанович Махачев
ул. Академика Волгина, д. 37, г. Москва, 117437, Россия; ur.liam@2002taglad

Информация о статье

Вклад авторов: Д. В. Буланов — руководство исследованием, разработка концепции и дизайна работы, редактирование текста статьи; Д. Р. Махачев, М. А. Сунцов, Д. С. Губич — анализ и интерпретация данных, написание текста статьи, редактирование; Ю. Д. Филиппова, А. А. Крутилина, Р. М. Габибуллаев, А. В. Свояк, А. А. Иванникова — сбор клинических данных, редактирование.

Статья получена: 07.10.2025 Статья принята к печати: 05.11.2025 Опубликовано online: 21.11.2025
|
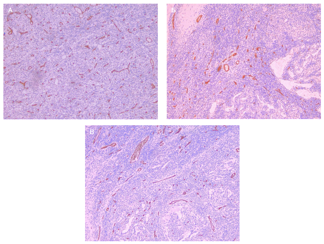
Рис. 1. A. Интратуморная зона (CD31, ×200). Плотная сеть тонкостенных капилляров с ветвящимися и петельными контурами, соответствующая «горячим» полям ангиогенеза. Б. Перитуморальная зона (CD31, ×200). Упорядоченная сосудистая сеть с меньшей плотностью и ориентацией сосудов вдоль коллагеновых пучков. В. Перитуморальная зона (CD31, ×200). Мозаичная микрососудистая пролиферация с сочетанием мелких и средних сосудов, отражающая пространственную гетерогенность ангиогенеза
Рис. 2. Микрососудистая плотность (MVD, CD31): сравнение «горячих полей» (Weidner) и глобальной оценки по всему срезу
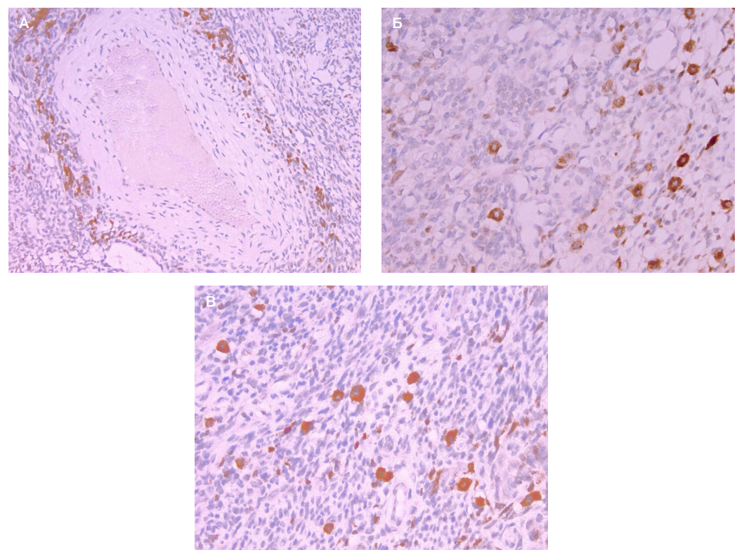
Рис. 3. A. Периваскулярная зона ≤ 50 мкм (CD117, ×200). Кластеризация тучных клеток вдоль сосудистой стенки; отдельные клетки с экстрацеллюлярными гранулами (косвенный признак дегрануляции). Б. Периваскулярная зона ≤ 50 мкм (CD117, ×400). Скопления зрелых гранулированных тучных клеток, формирующих манжетирование сосудов. В. Интратуморная зона (CD117, ×400). Одиночные тучные клетки без выраженной периваскулярной ориентации, с частичной утратой гранулярности
Рис. 4. Плотность триптаза+-тучных клеток в интраопухолевой, перитуморальной и периваскулярной (≤ 50 мкм от CD31+/CD34+-сосудов) зонах
Рис. 5. А. Экспрессия VEGF-A (H-score) в тканях синовиальной саракомы. Б. Перицитарное покрытие сосудов по α-SMA
Рис. 6. Корреляции между плотностью мастоцитов, MVD, VEGF-A и перицитарным покрытием α-SMA (коэффициенты Спирмена)