Авторские права: © 2026 принадлежат авторам. Лицензиат: РНИМУ им. Н.И. Пирогова.
Статья размещена в открытом доступе и распространяется на условиях лицензии Creative Commons Attribution (CC BY).

ОРИГИНАЛЬНОЕ ИССЛЕДОВАНИЕ

Изменения в экспрессии генов гомологичной рекомбинации в химически индуцированных опухолях in vivo

М. М. Цыганов1,2 , И. А. Цыденова1 , Д. М. Лоос1 , М. К. Ибрагимова1,2
Информация об авторах

1 Научно-исследовательский институт онкологии, Томский национальный научно-исследовательский медицинский центр, Томск, Россия

2 Сибирский государственный медицинский университет, Томск, Россия

Для корреспонденции: Матвей Михайлович Цыганов
ул. Кооперативная, д. 5, г. Томск, 634050, Россия; ur.xednay@MMvonagyst

Информация о статье

Финансирование: работа выполнена при финансовой поддержке Российского научного фонда (грант № 22-15-00169-П).

Благодарности: работнику по уходу за животными Д. Ж. Булатовой (НИИ онкологии, г. Томск) и лаборанту-исследователю П. Е. Никифорову (НИИ фармакологии и регенеративной медицины им. Е. Д. Гольдберга, г. Томск) за помощь в планировании и проведении эксперимента на модельных животных.

Вклад авторов: М. М. Цыганов — написание текста статьи; И. А. Цыденова — получение данных для анализа; Д. М. Лоос — получение данных для анализа, визуализация; М. К. Ибрагимова — редактирование.

Соблюдение этических стандартов: исследование одобрено этическим комитетом НИИ онкологии Томского национального научно-исследовательского медицинского центра Российской академии наук (протокол № 21, от 14 октября 2022 г.). Содержание, уход и все манипуляции с животными проводили в соответствии с Европейской конвенцией о защите позвоночных животных, используемых в экспериментальных и других научных целях (ETS № 123).

Статья получена: 17.03.2026 Статья принята к печати: 08.04.2026 Опубликовано online: 19.04.2026
|
Рис. 1. Динамическое изменение массы исследуемых групп животных в период наблюдения. ДМБА — группа животных, которым вводили диметилбензантрацен; * и * — статистически значимые различия; стрелками обозначено время появления опухолей в исследуемой группе животных
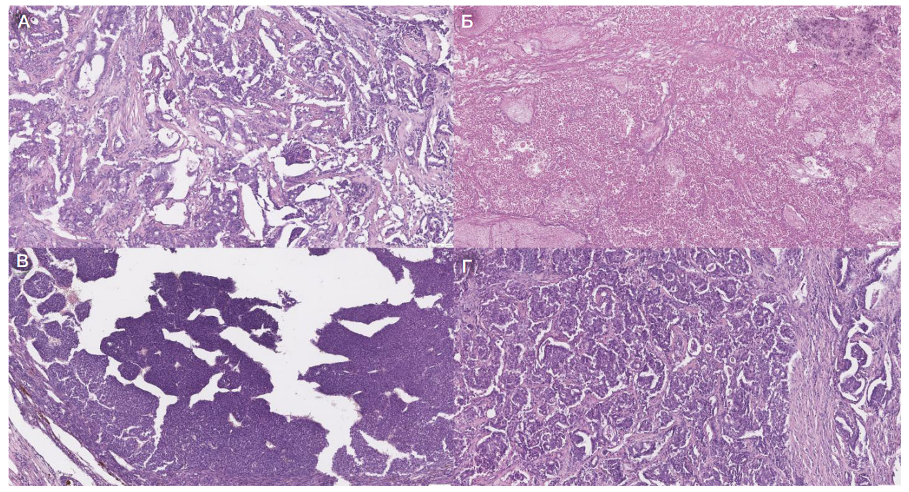
Рис. 2. Микрофотография среза опухолевых образцов, полученных от лабораторных животных № 7 (А), № 8 (Б), № 9 (В) и № 6 (Г), при увеличении 10×. Срезы окрашены гематоксилином и эозином
Рис. 3. Уровень экспрессии генов гомологичной рекомбинации в группе мышей с введением канцерогена ДМБА
Таблица. Наличие аберраций числа копий ДНК генов гомологичной рекомбинации в опухолевых образцах
Примечание: в таблице представлены данные о наличии крупных хромосомных перестроек некоторых генов гомологичной рекомбинации, где gain — амплификация; n — нормальная копийность гена; loss — делеция