Copyright: © 2026 by the authors. Licensee: Pirogov University.
This article is an open access article distributed under the terms and conditions of the Creative Commons Attribution license (CC BY).

ORIGINAL RESEARCH

Changes in expression of homologous recombination genes in chemotherapy-induced tumors in vivo

Tsyganov MM1,2 , Tsydenova IA1 , Loos DM1 , Ibragimova MK1,2
About authors

1 Cancer Research Institute, Tomsk National Research Medical Center of the Russian Academy of Sciences, Tomsk, Russia

2 Siberian State Medical University, Tomsk, Russia

Correspondence should be addressed: Matvey M. Tsyganov
Kooperativnaya 5, Tomsk, 634050, Russia; ur.xednay@MMvonagyst

About paper

Funding: the study was supported by the Russian Science Foundation (grant No. 22-15-00169-П).

Acknowledgements: to D.Zh. Bulatova, animal care specialist (Cancer Research Institute, Tomsk), and P.E. Nikiforov, laboratory research assistant (Goldberg Research Institute of Pharmacology and Regenerative Medicine, Tomsk) for assistance in planning and conducting experiments involving model animals.

Author contribution: Tsyganov MM — manuscript writing; Tsydenova IA — acquisition of the data for analysis; Loos DM — acquisition of the data for analysis, imaging; Ibragimova MK — editing.

Compliance with ethical standards: the study was approved by the Ethics Committee of the Cancer Research Institute, Tomsk National Research Medical Center of the Russian Academy of Sciences (protocol No. 21 dated 14 October 2022). Animals were handled in accordance with the European Convention for the Protection of Vertebrate Animals Used for Experimental and Other Scientific Purposes (ETS No. 123).

Received: 2026-03-17 Accepted: 2026-04-08 Published online: 2026-04-19
|
Fig. 1. Dynamic changes in body weight in the studied groups of animals during the follow-up period. DMBA — group of animals administered dimethylbenz[a] anthracene; * — significant differences; the time of tumor emergence in the studied group of animals is marked with arrows
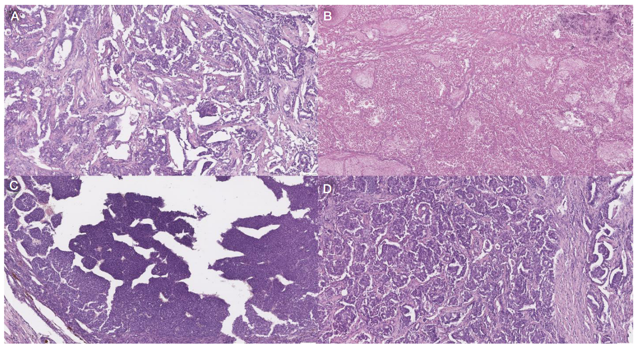
Fig. 2. Microphotographs of the sections of tumor specimens obtained from laboratory animals No. 7 (А), No. 8 (B), No. 9 (C), and No. 6 (D), 10× magnification. Hematoxylin and eosin stain
Fig. 3. Homologous recombination gene expression levels in the group of mice administered carcinogen (DMBA)
Table. Presence of the homologous recombination gene DNA copy number aberrations in tumor specimens
Note: the table provides the data on the presence of major chromosomal rearrangemens for some homologous recombination genes, where gain — amplification; n — normal gene copy number; loss — deletion